假牙牙橋
精準微創‧無痛新植感
專科醫師主刀,快速安心
療程/服務介紹
檢查評估
資料蒐集,規劃最合適的修復方式。
術前分析
電腦模擬設計,預先製作臨時假牙。
修形與取模
精細修形印模,同次裝上臨時牙橋。
正式假牙
黏合量身打造的牙橋,恢復自然功能。
術後追蹤
定期回診,確保牙齒與牙周健康。
精於贗復補綴專科,4D數位重建、植牙美學、全瓷美齒,重視醫病關係享譽醫學界精於贗復補綴專科,4D數位重建、植牙美學、全瓷美齒,重視醫病關係享譽醫學界,精於贗復補綴專科,4D數位重建、植牙美學、全瓷美齒,重視醫病關係享譽醫學界。
專科醫師主刀,快速安心

檢查評估
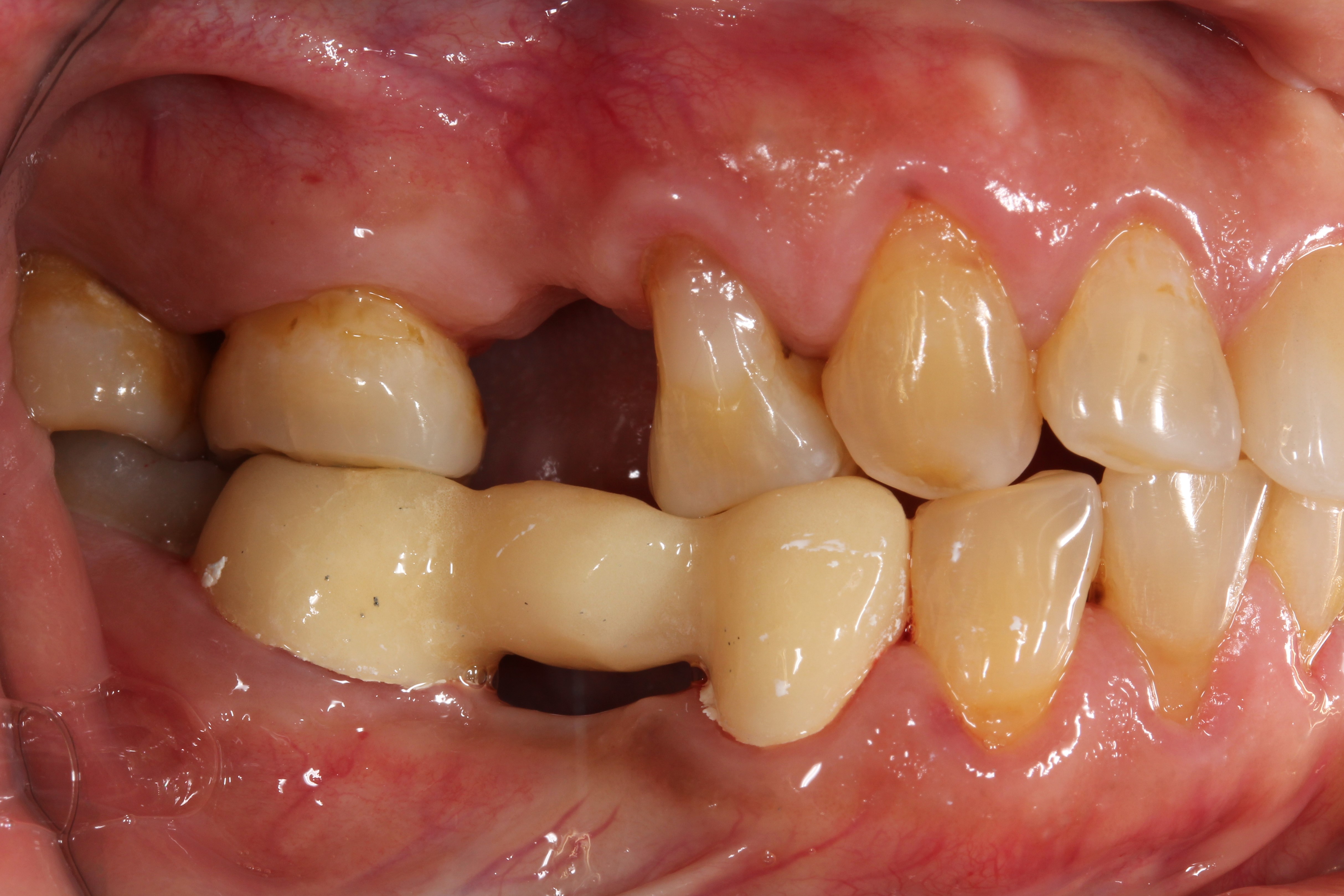
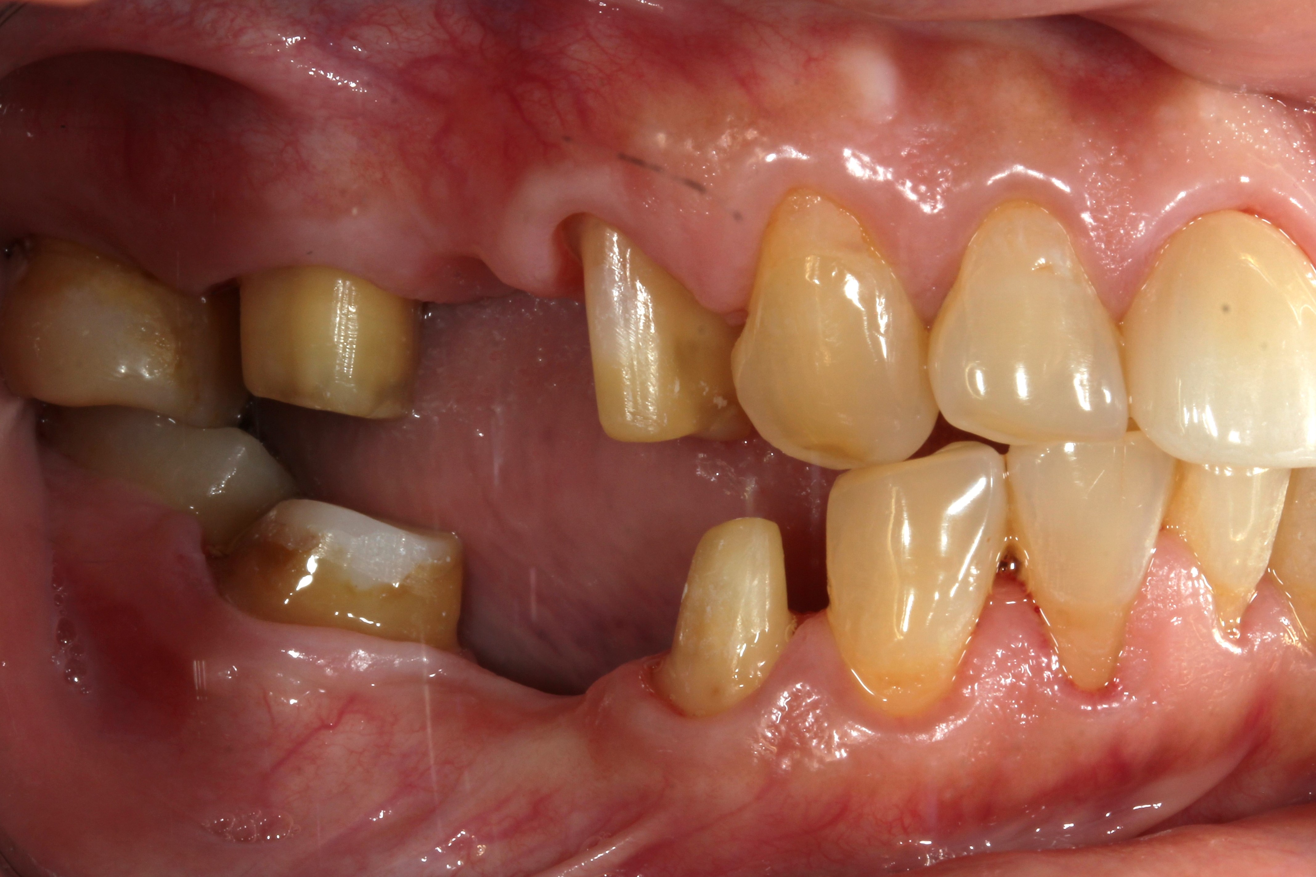
全面檢查牙齒與骨頭狀況,利用X光影像及口內掃描確認缺牙位置與咬合,為您規劃最合適的修復方式。

治療過程
透過電腦模擬,先行設計牙橋的外型與咬合,再精細修形支台齒,並以數位口掃印模。修磨牙齒的當次會裝上臨時牙橋,在口內實際測試未來咬合狀態並維持美觀。

完成治療
將量身打造的牙橋黏合,恢復自然外觀與正常咬合功能。

術前評估
精於贗復補綴專科,4D數位重建、植牙美學、全瓷美齒,重視醫病關係享譽醫學界精於贗復補綴專科,4D數位重建、植牙美學、全瓷美齒,重視醫病關係享譽醫學界,精於贗復補綴專科,4D數位重建、植牙美學、全瓷美齒,重視醫病關係享譽醫學界。
