郭芯妤
醫師
- 紐約哥倫比亞大學假牙植牙專科
- 三禮美學牙醫診所院長
Your smile, Our mission
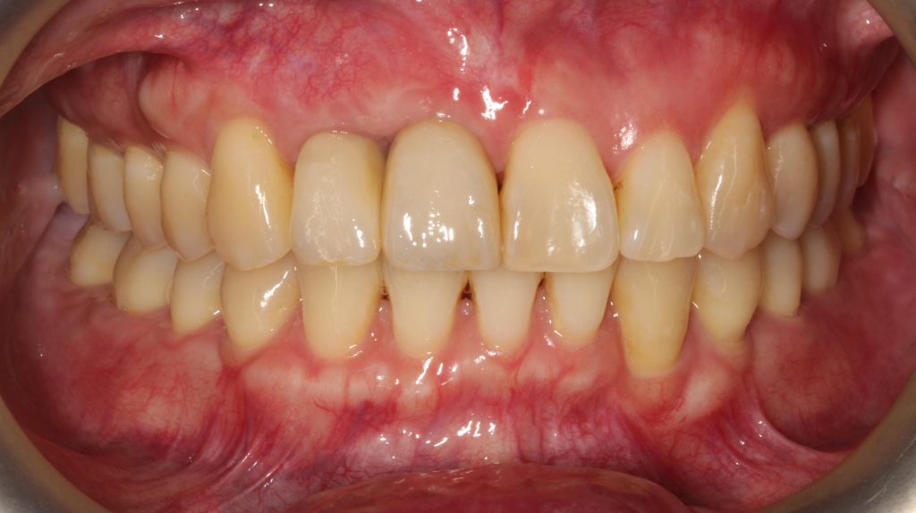
重拾健康自信笑容 在三禮





Weeks Navismile
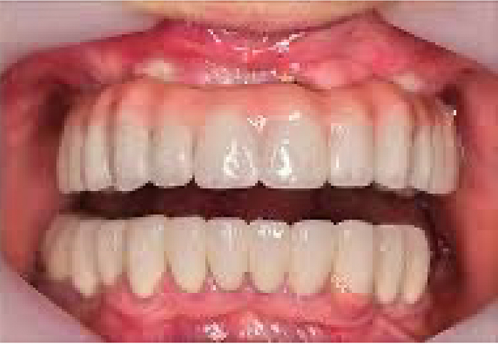
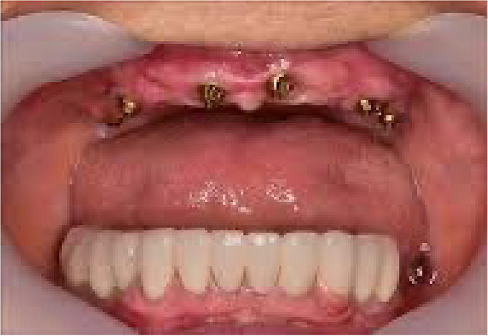
三週完成 全口植牙造齒

全球領先
達文西微創植牙技術

當日立即
全口固定植牙假牙

紐約醫療中心級別
醫材設備消毒

療程步驟一
專科醫師親自 客製化診斷討論

療程步驟二
數位 3D 笑容分析 咬合AI力學建模

療程步驟三
精準微創治療 植牙/補骨/貼片
全球領先/醫療技術
創新技術
重建完美
無痛微創
專業安心/口腔治療
國際醫材/高端設備
- Straumann頂尖瑞士植體
具親水性表面與高強度材質
適用於多種臨床情況
- Water Laser利用由 Er, Cr: YSGG 晶體
釋放出特殊2,780 nm 的雷射光源被水分子吸收結合
- Navident即時導航植牙系統,讓手術更精準、更安全,降低風險、縮短時間,帶來安心舒適的治療體驗

- 3shape精準呈現3D牙齒模型,取代傳統印模。透過最新的 ScanAssist AI 掃描技術,讓診療科技化,大幅減少患者的不適感!

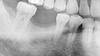
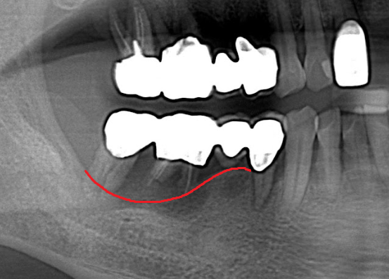
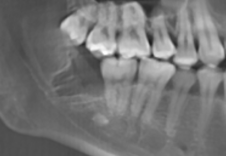
- CBCT採用芬蘭Planmeca尖端3D影像技術,精準解析牙齒與顎骨細節,提升診斷準確性與治療品質,讓每一次看診更安全、更安心。

- Melag醫學中心等級器械消毒清洗機
高溫高壓水柱清潔,確保清潔消毒品質
德國原裝進口,全球消毒設備第一品牌
- Castellini SKEMA診療椅來自歐洲最大牙科設備集團,義大利90年工藝,歐洲最暢銷的頂級診療椅。

- Dentsply全球牙科領導品牌
瑞士高階植體士卓曼
- Ivoclar全球牙科領導品牌
瑞士高階植體士卓曼
- 3M全球牙科領導品牌
瑞士高階植體士卓曼
- VHF德國原裝進口3D齒雕機,即可快速精準完成美學贋復體,自信笑容即刻擁有!

- Asiga全球牙科領導品牌
瑞士高階植體士卓曼
牙醫新知/媒體採訪
- 1. 牙周病各階段症狀與治療方式Line Today

- 2. 正確刷牙觀念Line Today

- 3. 免疫力影響牙周發炎Line Today

- 4. 日常生活預防牙周病Line Today

- 5. 植牙與全口重建Line Today

- 6. 胃食道逆流腐蝕牙齒Line Today

- 7. 三禮美學牙醫介紹Line Today

- 8. Dr. SE vs. NavidentLine Today

- 9. 活動式假牙Line Today

- 10. 固定式假牙Line Today

口腔健康/護理保養
- 1. 刷牙習慣 2026.01.19
牙膏怎麼選 Q:牙膏要怎麼選適合自己的? A:牙膏最主要的功能,是在輔助牙刷的 #清潔能力,以細微的研磨膏清除牙齒表面的牙垢與牙菌斑。 除了主成分以外,牙膏還根據「功能」的不同,額外添加不同成份。 市面上常見的為預防蛀牙蛀牙、去敏感性、美白療效與預防牙周病等不同類型的牙膏。 - 缺牙的影響 2026.01.19
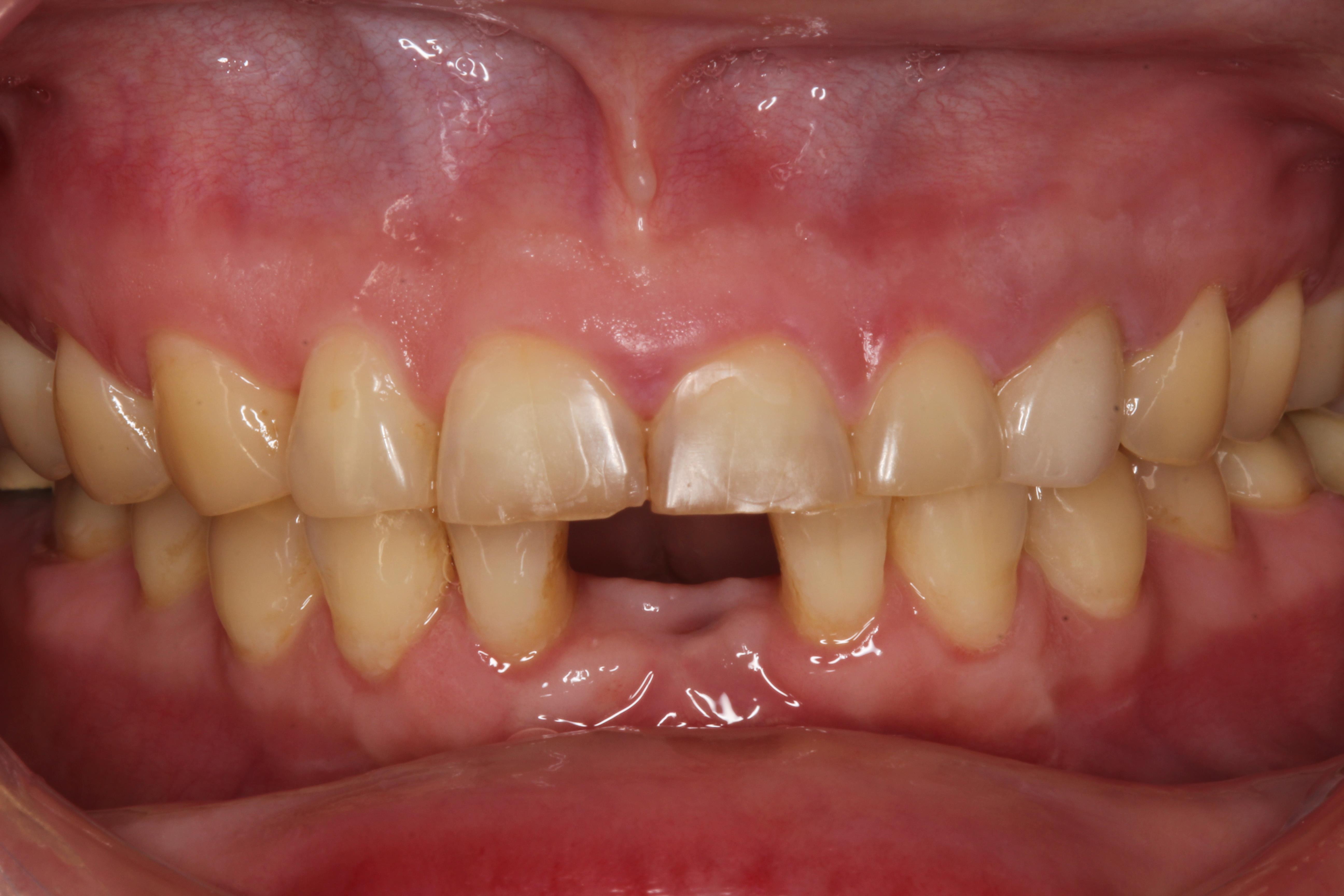
缺牙的影響-身體篇 「台灣25-39的年輕人,有高達45%出現缺牙的情況。」曾經有病人告訴我「他長期只用有牙齒的那邊吃東西」,這是不正確的! 「缺牙」影響到的不是只有美觀的問題,更容易造成嚴重的「咬合障礙」 - 缺牙的後遺症 2026.01.19
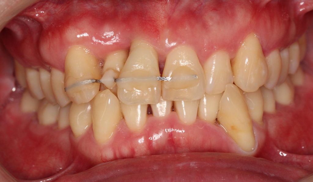
嚴重缺牙的後果? 不管是蛀牙導致的缺牙、退化所致的缺牙、意外造成的缺牙,嚴重缺牙最先會面臨到的問題是「營養流失」,長時間無法正常咀嚼、進食,吸收不佳的情況下,會導致營養不良。 此外,嚴重缺牙會讓口腔上下顎,無法對襯咬合,導致嘴巴無法正常閉合,除了影響美觀,長久下來,也會影響顳顎關節(temporomandibular joint)、咀嚼呼吸系統。 長時間缺後牙的後果? 「缺後牙沒有關係阿,反正看不到,用前面的牙齒咬就好」。這真的是大錯特錯的觀念,長時間缺後牙、錯失黃金治療期,後果,並非想像中的那麼簡單! 「上方後牙區缺牙」,會造成下顎後牙的牙齒往上移,導致錯位咬合,牙脊高度流失、上顎鼻竇腔膨大下墜。之後如果要植牙時,必須伴隨補骨、牙脊增高術或者上顎竇增高術。 「下方後牙區缺牙」,會造成上顎後牙的牙齒往下墜,導致錯位咬合,錯失黃金治療期,會讓牙脊高度、寬度流失,導致缺牙區沒有空間做假牙。 - 假牙的種類 2026.01.19
螺絲固持式假牙 「螺絲固持式假牙」,簡單說,就是運用生物性相容的螺絲,來將口內的植體拴緊,並且是可拆卸的。客製化人工支台齒及牙冠透過螺絲來固定,方便醫師日後可將假牙拆卸進行清潔保養,避免發炎並延長植牙壽命。「螺絲固持式假牙」:專業的贋復科醫師會依據病患者口腔的情況,製作客製化的支台齒與牙冠,而假牙運用螺絲固定在植體,同時運用可以拆卸的方式,固定在人工牙根上,由於是可拆式的,所以醫師會在牙齒的顎側面或者咬合面,設置一個維修的開口。由於螺絲固持式假牙是可拆卸的,因此病患必須3-6個月進行回診與追蹤,讓專業的贋復科醫師將假牙拆下,不僅要將植體周為進行清潔,也必須將假牙清潔乾淨,才能降低植體周圍炎產生的機率,同時增加植牙的使用年限。 黏著式假牙 「黏著式假牙」,簡單說,就是使用生物相容性的黏劑,將植牙的牙套黏在支台齒上。雖然「黏著式假牙」製作與設計上比較簡單,但是必須使用黏著劑來輔助,來固定假牙的位置,因為病患長期使用會出現,黏膠流失、假牙鬆脫的情形。「黏著式假牙」最大的問題,在於黏著時溢出的黏著劑不易清潔,殘留的黏劑會不斷刺激牙肉的周圍,導致植體周圍炎的發生,植體周圍骨頭流失。「黏著式假牙」不可拆卸的問題,會導致口腔健康維護不易,醫師無法輕易取下假牙保養植體,增加口腔內植體病變的風險。 黏著式假牙VS螺絲固持式假牙 「螺絲固持式假牙」:使用生物性相容的螺絲,來將口內的植體拴緊,並且是可拆卸的。「黏著式假牙」:使用生物相容性的黏劑,將植牙的牙套黏在支台齒上。「黏著式假牙」的黏著劑如果使用不當,不僅在取下的過程中難度相當高,大部分的時候,都必須要完全破壞牙冠,才能完全取下,而且過程中必須藉由醫師經驗與技術,降低病患的不適感。這也會導致病患必須多花一筆費用,重新製作假牙。而且殘留的黏劑會不斷刺激牙肉的周圍,導致植體周圍炎的發生,植體周圍骨頭流失。「螺絲固持式假牙」是人工支台齒及牙冠透過螺絲來固定,而且牙齒的顎面或者咬合面有個維修洞,所以拆卸來的過程相當容易。也因為「黏著式假牙」不容易拆下,所以植體周圍炎發生的機率會比「螺絲固持式假牙」還要高出許多。 - 幾歲植牙比較好? 2026.01.19
只要經過牙醫師臨床的評估,不管是25歲較年輕的缺牙病患,或者80歲的族群,都能進行植牙手術的。 「車禍/摔跤等意外造成的缺牙」、「蛀牙導致的缺牙」這些都是可以靠植牙來將受損的牙齒補齊,但千萬要注意,不要以為植牙後就一勞永逸,植牙成功後的口腔保健依舊要注意。 - 什麼是植牙? 2026.01.19
數位植牙的好處? 不管採取何種植牙治療方式,「4D微創導航系統」牙科技術能夠輔助醫師,在治療時,除了能透過醫師臨床的經驗與技術外,更能精準的控制與判斷病患的所有狀況,降低療程時可能發生的風險,以及減緩術後的不適感。 醫師會在病人的缺牙上,裝上一顆如同「監視器」的機器,搭配「4D動態導航系統」牙科技術,讓醫師在植牙的時候,能夠即時、精準的監測病人口腔骨頭內的狀況。 植牙有黃金治療時間嗎? 植牙的黃金治療期是「越來越快好!」為什麼是「越快越好呢?」最主要是因為牙齒與牙槽骨是相互依存的關係,當缺牙的第一年,骨頭會吸收得特別快,接下來每年以等比的速度吸收。 當口腔內的牙齒,有任何問題或是已經出現缺牙的情況,應該盡快尋求牙醫師的協助!進行治療與骨頭重建的需求評估,已避免增加重建的困難度,甚至無法治療。 到底適合「植牙」,還是要做利用兩邊牙齒做「牙橋」,最終還是需要經過醫師的專業判斷。 如何在茫茫醫海中,尋找適合的植牙醫師? 「一般牙科、贋復補綴科、口腔顎面外科、牙周專科」現代人很喜歡上網做功課,但想要找植牙醫師時,卻不知道從何尋找到適合的植牙醫師。 其實,能夠提供患者專業植牙技術的醫師,通常會受過「贋復補綴科、口腔顎面外科、牙周病科」這3大科的專業訓練。 擔心花錢後植牙出現問題又無法處理,如果長期看診的牙醫診所沒有相關的專業醫師,可以請醫師幫忙轉介。 另外,也可以挑選幾位自己喜歡的醫師,進行面診諮詢,找出最適合的醫師。最後,與醫師充分的溝通、配合也是植牙成功與否的重要關鍵。 植牙的步驟 植牙的流程大致可以分為幾個階段:資料蒐集、資料分析與重建理想牙位、植牙手術與植牙臨時假牙製作,以及最後最重要的植牙假牙製作。 植牙諮詢的第一步「資料蒐集」 資料蒐集、分析: 先利用口腔掃描機、臉部掃描儀、X光片、斷層掃描等,蒐集病患口腔整體環境、牙齦、骨頭的臨床資訊,以及紀錄顳顎關節與咬合的情況。 植牙手術 植牙手術:在經過專業的醫療團隊,進行術前評估後,以及擬定個人化的治療方針後,就會進入植牙手術的步驟,手術的步驟,會先進行牙齦翻瓣、鑽孔、植入人工牙根、縫合、拆線等。 不少人聽到上述步驟,或許已經頭皮發麻,專業的醫療團隊在治療的過程中,會搭配「舒眠麻醉」治療,能夠降低病患在過程中的不適感與恐聚感。 而通常人工牙根的癒合期大約需要6-12週的癒合,待癒合後才會進入「植牙臨時假牙製作」的製作。 植牙永久有效? 植牙有保固期 ? 「植牙成功後,就一勞永逸了嗎?就不用與醫師相見了嗎?」植牙它是鈦金屬釘子,植入骨頭癒合後,它不會蛀牙。但是,植牙周圍的牙肉跟骨頭,如果不妥善保養的話,還是會導致牙周病的發生,就是所謂的植體周圍炎。 植牙上方接出的牙冠,就好比買一台車,牙冠用久了,就如同車子用久了,零件、螺絲依舊會出現損毀的狀況,所以定期的回診保養追蹤是相當重要的。 通常植牙牙套完成後,至少半年回診一次,讓牙醫師檢查確認植牙附近牙齒沒有累積牙箘斑牙結石、植體周圍牙肉沒有發炎化膿,中間固定的螺絲沒有鬆動、牙套沒有破損、咬合狀況穩定等。 此外,患者必須維持良好的口腔清潔,可以參照之前我介紹的牙齒清潔方式,來保持好的口腔衛生、少抽菸等,如此搭配定期的回診檢查,可延長植體壽命。 植體的構造 植牙的治療過程很漫長,很多病患最常問的是「嘴巴內裝上的到底是什麼東西?」 今天的「植牙芯教室」就要帶你來認識「植牙整體的構造」(Dental implant) 口腔內的植牙由上→下依序是:牙冠、支台體、植體。 牙冠:又稱假牙冠、牙套,它是提供如同真牙的咀嚼功能,並且恢復美觀,永久性的牙冠最常見的材質為:全瓷、金屬合金、瓷熔合金屬。 支台齒:連接牙冠與植體的延伸部分,在中間點扮演重要角色,因為它必須要支撐牙冠的咬力,同時又要提供牙肉健康的生長環境,所以專科醫師在安裝時,必須依造病患口腔的狀況「客製化」的設計,ˊ尋找最適合的形狀、大小與角度。 植體:置入於缺牙的牙槽骨中,功能是取代原有的「牙根」,負責穩固牙齒的地基,目前最常見的植體材質為純鈦、鈦合金。 植牙x牙冠材質 對於越來越講求美觀的現代人來說,花錢植牙,當然希望它能美觀性與功能性兼具。 今天的「植牙芯教室」就要帶你來認識「牙冠材質」 目前,市面上永久性的牙冠最常見的材質為全瓷、金屬合金、瓷融合金屬 。 1.全瓷牙冠:材料有氧化鋯、強化玻璃瓷,不需要使用金屬,材質與人體的生物相容性高,同時具備高硬度的特性、高耐磨、耐高溫。在外觀上,呈色自然如同真牙,美觀性極佳。 2.瓷融合金屬牙冠:由於合金的成分複雜,若是高貴金屬的成分(黃金、白金)不夠高時,在口腔高溫潮溼的環境下,金屬容易腐蝕,導致表面粗糙,使牙菌斑難以徹底清潔,就容易造成牙齦發炎,並且染色,長期在美觀上、實用性都難以符合,對於外觀講求自然的病患。 3.金屬合金牙冠:由於整體採用金屬製作,所以不容易破裂、折斷,但是外觀呈現金屬色,所以當張開口時,便能夠一眼看出假牙的位置,如果使用金屬和金的牙冠,建議使用高貴金屬成分較高的材質。 植牙前的注意事項 想要提高植牙治療成功率,醫師與病患互相配合很重要,從術前的資料蒐集、評估與診斷,依據病人的情況,給予專屬的治療方針,從術中的治療過程,到術後的維護都非常重要,先來談談植牙前要注意那些事情。 1.保持口腔衛生:口腔清潔是植牙成功的最大關鍵 2.降低煙癮:抽菸會影響植牙的成功率,應該要盡量避免,如果能夠戒菸成功,更能提高植牙的成功率。 3.持續服用慢性病藥物:如果有在服用慢性病(高血壓、糖尿病等),在術前的諮詢,務必完整提供用藥歷史給醫師。 植牙後的潔牙步驟-工具篇 「植牙疏於潔牙與保健,百萬台幣立刻船過水無痕。」這是血淋淋的案例,真的不要以為,植牙完成後就一勞永逸。 術後的口腔清潔與維護非常重要!非常重要!非常重要!因為植牙的「使用壽命」,有非常大的關聯性。 植牙維護有三寶:牙刷、牙間刷、牙線 牙刷:可以選擇自己習慣的刷頭,或者選擇刷頭短小、刷毛軟硬適中的牙刷 牙間刷:當牙齦萎縮、牙縫變大時,應該選擇適合牙縫大小的牙間刷,用來清潔齒間的縫隙、牙套底層的牙菌斑與食物殘渣。 牙線:使用超級牙線,來清潔牙橋下的支柱牙部分。 漱口水、沖牙機等,這些只是輔助工具,千萬不能把它當作正規的潔牙器材。 植牙後的潔牙步驟-清潔篇 植牙的清潔方式。 首先:使用牙刷在假牙與牙肉的交界,採用刷牙法,來回輕刷至少10次。 接著:使用牙間刷,輕貼牙齒的表面,進行前後清洗,按照同一個方式,從舌側進入,輕貼牙齒表面,再做一次清潔,每次動作至少5次。 最後:使用大約45CM的牙線,可以使用穿引器的輔助,深入牙橋底下做清潔,每次動作至少5次。 植牙後的潔牙步驟-電動牙刷VS.一般牙刷 「做完牙套後可以用電動牙刷刷牙嗎?潔牙工具怎麼選?」上一篇,談了植牙的清潔方式,究竟植牙到底該不該用電動牙刷?答案是「可以」。 科學研究指出,使用電動牙刷,能更深入清潔到牙縫與牙齒倒凹處,尤其對於手部協調性沒那麼高的人,以及牙齒排列凌亂者,在清潔上能夠達到更好的效果。 刷頭的選擇:一樣要以刷頭小、刷毛軟硬度適中的刷頭,建議每1-3個月,或者外觀出現彎曲變形,刷頭就必須更換。千萬不要因為刷頭,比一般牙刷貴捨不得更換,反而會讓潔牙效果打折扣。 潔牙方式:電動牙刷與一般牙刷的潔牙方式的差異在於,電動牙刷只需要將刷頭輕放在單顆牙齒上,讓刷頭在牙齒與牙肉的交界處轉動,手不需要來回移動刷頭。但是千萬不要重壓,施壓過多的力道在牙齒上,反而對於牙齦是種傷害。 另外,不管使用電動牙刷或一般牙刷,都一定要使用牙線、牙間刷,來清潔牙齒與牙齒間的鄰接面,確保牙菌斑被清除。 潔牙時間:三餐飯後,30分鐘內如果能夠潔牙是最好的,如果無法達到,睡前徹底的潔牙是最重要!另外,潔牙時一定要有耐性,不要為了節省時間,隨便刷2.3下就結束。 如何選擇:預算、操作與攜帶方便度為首要考量,而且選擇具有「經濟部標準檢驗局」檢驗合格的產品,設計不良的電動牙刷,可能會造成口腔受傷。 植牙後的術後照護 植牙的最終成功與否,術後照顧真的非常重要!務必遵從醫囑,以下是照護的重點。 1.冰敷:術後1周,依舊會有些許的腫脹與輕微的瘀青,在48小時內,建議患者可以冰敷,在臉頰外側冰敷15-20分鐘,休息10分鐘,重覆動作到48小時。 2.不要泡溫泉、熱水澡,以及從事游泳與劇烈的運動。 3.飲食方面:初期還是會建議以流質、軟度高的食物為主,過燙、過冰的流質食物則不宜,應該避免食用過燙、辛辣、含有酒精成分刺激性的食物。 4.降低菸癮:為了讓植牙的傷口能順利恢復,醫學上皆有文獻記載,術後1周必須降低菸癮。 5.定期回診:植牙完成還是必須定期回診,讓醫師確認傷口、口腔健康的情形。 根據手術療程的不同,每一項術後的照護方式也有所差異,未來會跟大家分享與討論。 植牙後就能一勞永逸,不會有牙周病? 大多數的病患都知道,植牙前要先把牙周病及其他口內問題處理好,以降低口內細菌數量,才能夠進行植牙,但是很多病患以為,植牙成功,同時也能跟牙周病永久說再見,這觀念完全不正確。 簡單說「牙周病」是牙齒的周圍骨頭受到細菌的破壞,所造成的結果。因此,在植牙後,如果植體周遭的牙肉與骨頭,沒有得到妥善的清潔與照顧,還是會造成口腔內細菌的滋生,一樣會導致牙周病的發生。 植牙後,是不是也跟敏感性牙齒Say Bye Bye 一般所說的「敏感性牙齒」真正的學名是「牙本質知覺敏感症(Dentin Hypersensitivity)」會造成敏感性牙齒,主要原因是在於牙齒外層的琺瑯質被磨耗後,失去保護的功能; 或是牙齦萎縮牙根裸露時,都會造成牙本質內的神經小管暴露,當受到冷熱、吹氣、和壓力等刺激下,所產生的神經疼痛不適感。 植牙後,重建的人工牙冠內沒有神經,所以不會有敏感性牙齒的發生。然而,其他的自然牙齒,不會因為植牙而受到改變,當琺瑯質被破壞時,依舊會造成牙齒敏感性的問題。 骨質疏鬆的人適合植牙嗎? 「骨質疏鬆」有越來越年輕化的趨勢,除了因為年齡的增長之外,身體未獲得適當的保養也是元兇之一。如果是輕微的骨質疏鬆,只要適當的補充鈣質,想要植牙依舊沒有問題!整體還是必須交由專業醫師評估。 「骨鬆患者」,尤其是有在服用高劑量或施打抗蝕骨作用的藥物,是會影響植牙的成功率。原因在於,大多數的抗骨質疏鬆藥物,含有雙磷酸鹽,會影響骨骼細胞修補的功能,讓顎骨無法修復。所以如果有服用相關藥物,植牙前一定要告知醫師。 我是高血壓患者,能夠植牙嗎? 在高血壓控制好的前提下,是可以進行植牙手術的!正常的血壓是指收縮壓120/舒張壓80mmHg,當血壓偏高時,會增加手術中的出血狀況,提升手術的複雜度,甚至會提高手術後的感染率。 很多高血壓患者會服用「抗凝血藥物」。「抗凝血藥物」可能會在手術時,出現傷口流血不止的問題,所以醫師在進行植牙評估時,一定要讓醫師了解自身的慢性病史與用藥,並且盡可能尋找能提供詳細治療計畫,以及擅長微創植牙手術的醫師,降低植牙的風險。 我是糖尿病患者,能夠植牙嗎? 糖尿病患者與高血壓患者,都是在控制良好的前提下,能夠完成植牙手術。由於糖尿病控制不良的患者,細胞修復的能力與免疫系統,跟正常人比起來比較低,相對的牙周組織再生能力、傷口癒合情況也比較差。 所以想要植牙,必須同時與新陳代謝科醫師與植牙醫師相互合作,穩定血糖。除此之外,糖尿病患者也應該養成良好的口腔保健習慣,在經過醫師的專業評估,提供完善的治療計畫。 糖尿病與牙周病的關係? 「牙周病已經被列為糖尿病的併發症之一」前面談到「只要控制好血糖」依舊能夠植牙。我們也提到植牙前,一定要把牙周病控制住。今天我們就來談談「牙周病與糖尿病控制不良的關係」。 事實上,糖尿控制不良的病患發生牙周病的機率是正常人的3倍。最主要的原因,口腔細菌量會比正常人多,由於免疫系統比較差,更容易受到感染,所以傷口的復原能力也較低。 一旦糖尿病控制不良者得到牙周病時,病程也會跟著加速,骨頭被破壞與受損的速度也會加快。並且,因為身體長期發炎,將會導致血糖更不易控制。 癌症患者適合植牙嗎? 「癌症已經連續多年佔據國人10死因的首位」而癌症到底能不能進行植牙手術呢?首先,醫師會先了解病人的癌症種類與期數,以及過去的病史、治療史、用藥史,經由病人提供的資料,來做精準的判斷。 癌症的放射治療、免疫抑制等是會影響到傷口的癒合,治療上會使用到,抗骨吸收藥物 (antiresorptive agents)與抗血管生成藥物(antiangiogenic agent)等,都很有可能增加顎骨壞死的風險。另外,頭頸部經過放射線照射後,也會造成骨細胞的活性降低。 而且病人在接受化療、標靶藥物時,也會因為治療後,免疫力降低,細胞修復能力變弱,如果在治療期間,或是在治療後,想要做植牙,都應該先找醫師進行評估身體各項數值,以提高植牙成功率。 懷孕期間能夠植牙嗎? 雖然植牙是一個小手術,但是通常醫師都不會建議準媽咪們,在這時候進行植牙手術,首先,因為植牙是必須照X光檢查,在懷孕期間,應盡量避免暴露在輻射線下。 同時植牙必須經過麻醉的步驟,雖然麻藥會經由尿液排除體外,但大多數麻藥都含有「血管收縮劑」的成分,在治療過程中引發的加倍焦慮,可能會造成者子宮提前收縮的風險。所以會建議想植牙的準媽咪,產後再進行植牙手術。 產後、哺乳期植牙注意事項 「醫師,我正在哺乳期能植牙嗎?」在懷孕期間,就算已經完成第一階段的植牙手術,醫師為了保護母體與胎兒,會直接將療程暫停至產後,但是女性「產後要多久才能植牙?」、「哺乳期能植牙嗎?」成為許多媽媽最常問的問題。 事實上,女性產後的身體狀況恢復到一定的程度,就能夠進行植牙。而為了擔心麻醉藥或是抗生素、止痛藥分泌到母乳,加上每種藥物的半衰期不同,通常會建議,服用完最後一次藥物,在相隔24小時後,才進行哺乳。 服用健康食品是否會影響植牙 「維他命C、B群、魚油、銀杏、補鈣產品...」各式各樣的保健食品有吃有安心,很多病患到了診間,最常問我的問題之一「醫師,我有在服用各類的保健食品,會影響植牙嗎?」 事實上,需要看服用保健食品萃取的成分而定,不是所有的保養品食品,都會影響植牙的。如果營養品中含有「抗凝血作用」成分的保健食品,例如:銀杏、紅花。會建議在術前1周暫停服用。 雖然,適當的服用保健食品,確實有益於健康,但是在進行植牙評估時,還是務必告知,讓醫師做更正確的評估。 植牙要局部麻醉還是全身麻醉? 「植牙到底要全身麻醉,還是局部麻醉?麻醉的方式有哪些?差異性、有沒有後遺症?」許多病患都會有相同的疑問,從今天開始,一連串的文章來解惑。 其實,植牙手術跟一般口腔治療的方式一樣,能夠在病患清醒情況下進行治療,醫師通常會使用局部麻醉藥內含少比例血管收縮劑(Epinephrine),針對病人的手術內容,與治療所需的時間,給予準確的麻醉劑量。 由於大部分的局部麻醉藥,含有血管收縮劑,之前文章有提到高血壓的患者,必須在做治療諮詢時,提供用藥史與血壓控制情形,並且在手術當天,都應該接受血壓的測量,已確定用藥的安全性。 植牙的成功率?植牙失敗怎麼解?植牙的後遺症? 「植牙能100%成功嗎?植牙後是不是就再也不用回診?當植牙開始出現問題時,怎麼辦?植牙失敗後該如何治療?」這些問題是現在病患在選擇植牙時,很重要的考量。 「植牙成功率及植體壽命的長短」其實,最重要的是取決於醫師、病患有沒有合作無間,醫師與病患都應該在治療的過程中,扮演好彼此的角色,才能在植體成功骨整合後,延長使用的壽命。 病人,在諮詢時,要確實的將藥物史、病史提供給醫師。在治療期間,遵照醫囑、落實口腔衛生,並且在術後定期回診。此外,當植體出現任何情況時,必須立刻尋求醫師的協助「及早發現、及早治療」。 醫師,在技術、經驗上必須給予病患精準個人化的治療方針,並且選用大品牌的植體、生物醫材,提高治療成功率。同時,隨時吸收醫療新知,並將它運用,讓病患得到最好的治療。 上述都是植牙成功不可或缺的關鍵之一。 植牙後出狀況x牙冠瓷破裂 「植牙後出狀況怎麼辦?」 就如同之前所說,植牙就像是一部車子,用久了零件會出現受損的情況,要聊「出狀況怎麼辦?」就要回歸問題的根源來對症下藥,接下來,我將針對「植牙後常見的幾大狀況」來做詳細的說明: 牙冠瓷破裂:可將假牙取下,送修補瓷以回復美觀及咬合功能。因為牙科材料學的進步,新式二氧化鋯牙冠 (Zirconia),幾乎不會有破裂的狀況,這也是目前牙冠材質中,在品質與美觀上的表現,都擁有較高的穩定性。專業的贋復醫師在修復之前,會先把連接體跟牙冠中間的隙縫清潔乾淨,讓植體免於細菌感染的風險。 植牙後出狀況x植體配件的鬆脫、受損 「植體配件的鬆脫、受損」,之前的植牙芯教室,我們有介紹,牙冠與支台齒內含有各種不同的小零件,當植體用久了,零件開始出現狀況,該如何處理? 要談到該如何處置之前,要先了解,為什麼會發生「植體配件的鬆脫、受損」的狀況,大致可以把原因歸類為:零件壽命、植體長期咬合受力。 病患完成植牙後,在每半年的定期回診,牙醫師都會針對這些細部零件做確認,確定是否有鬆脫或晃動的情形出現。 一旦出現螺絲的鬆脫情況,沒有及時治療,螺絲就會斷裂在植體內,而要從植體內,將斷裂的螺絲取出,是件複雜又具高風險的療程,必須由經過專業訓練的植牙贋復科醫師來做處置,在往後的文章,將再做更詳細的說明。 植牙的麻醉方式有哪些? 「舒眠麻醉、全身麻醉、笑氣麻醉」這是目前大家在搜尋資料時,比較容尋找到的關鍵字,今天就來簡單介紹,這些麻醉的專有名詞。 舒眠麻醉:目前贋復科醫師最常使用的麻醉方式,屬於淺層麻醉,能夠讓病患在放鬆的情況下進行治療,也能夠降低局部麻醉的用藥量,關於「舒眠麻醉」接下來會一系列的介紹。 全身麻醉:屬於深度麻醉,麻醉藥的劑量會讓病患意識消失,而且無法自主呼吸,術後的恢復期較長,必須要在開刀房內進行。 笑氣麻醉:主要是用來鎮靜,而非麻醉,有些病患在做口內局部麻醉時,依舊會感受到看牙的緊張感,因此,有些醫院或診所,會備有笑氣設備,幫助病患在局部麻醉時,能夠鎮定。 植牙的評估要件懶人包 Q:缺牙會影響到那些層面? A:身體、心理都會受到影響,長期缺牙會讓導致「咬合障礙」 Q:到底要植牙,還是要做假牙? A:需要經過醫師的專業評估與判斷,「假牙」與「植牙」各有優、缺點。 Q:幾歲適合植牙? A:只要經過牙醫師臨床的評估,不管是25歲較年輕的缺牙病患,或者80歲的族群都能。 Q:如何在茫茫醫海中,尋找適合的植牙醫師? A:專業植牙技術的醫師通常會受過「贋復補綴科、口腔顎面外科、牙周病科」3大科的專業訓練。 Q:怕痛的人,如何進行植牙手術? A:現在也出現了「舒眠治療」,讓患者在治療上,大幅減低焦慮感。 Q:我是高血壓患者能植牙嗎? A:在高血壓控制好的前提下,是可以進行植牙手術的! Q:骨質疏鬆的人適合植牙嗎? A:如果是輕微的骨質疏鬆,只要適當的補充鈣質,想要植牙依舊沒有問題。 Q:癌症患者適合植牙嗎? A:在癌症治療期間或是在治療後,想要做植牙,都應該先找醫師進行評估身體各項數值,以提高植牙成功率。 Q:懷孕期間能夠植牙嗎? A:植牙必須經過麻醉的步驟,所以想植牙的準媽咪,產後再進行植牙手術。 Q:服用健康食品是否會影響植牙? A:需要看服用保健食品萃取的成分而定,不是所有的保養品食品,都會影響植牙的 舒眠治療懶人包 Q:舒眠治療有健保給付嗎? A:舒眠自療跟植牙如同屬於自費項目,並無健保給付。 Q:舒眠治療前需要做哪一些準備? A:由於治療藥物的濃度,與個人身體狀況與病史有關,所以患者必須確實告訴醫師用藥的習慣以及病史,必要時,在舒眠治療前,醫師會要求病患,先做身體健康檢查。 Q:平常有習慣吃保健食品需要暫停嗎? A:大部分的保健食品都不需要停藥。 Q:舒眠治療需要禁食嗎? A:需要的,必須至少禁食6-8小時,如果是在上午進行,前晚12時之後就不可飲食,如果是下午,則是早餐過後,就不能進食。 Q:舒眠治療前的禁食,若有需要服用藥物該怎麼辦? A:禁食期間,服用少量的水吃藥是被允許的。 Q:有服用抗凝血藥物怎麼辦? A:通常不需要停藥,除非是經過專業醫師指示,才需要停藥。 Q:舒眠治療當天可以駕駛嗎? A:舒眠完成後,可能會有頭暈的狀況出現,建議在親朋好友陪同下,搭乘交通工具前往診所。 Q:舒眠治療後的注意事項? A:在完成治療後,患者應休息20-30分鐘,確保沒有暈眩、嗜睡的情況發生,才能離開診所。 植體品牌 ║史得勞曼(Straumann)║ 瑞士的植牙品牌,經過許多臨床醫學研究證實,是植體品牌中邊緣骨流失最少的系統之一,其特殊植體連接體的設計,使牙冠與植體緊密結合,增加假牙的穩定度,降低鬆脫、晃動的機率。 →https://reurl.cc/8lDo1X ║諾保科(Nobel biocare)║ 瑞典的植牙品牌,在2008年推出的NobelActive系統,植體特殊的螺紋設計及表面處理,適用於骨質條件狀況比較複雜的患者。 →https://reurl.cc/xDN9zL ║亞仕特(Astra Tech Implant)║ 瑞典的植牙品牌,在植體與連結面的設計上,採用特殊的圓錐六角形內接式的設計,穩定的接口,能降低牙冠與支台齒,鬆脫的情形。 →https://reurl.cc/jd91bn ║百好(BIOHORIZONS)║ 來自美國的植體品牌,BioHorizons採用硬度、生物性較高的鈦合金材質,同時擁有特殊的Laser-lok專利技術,不僅能降低植體牙周病的發生機率,又達到兼顧美觀的功能。 →https://reurl.cc/YlYvZn ║貝格莎曼杜(BEGO Semados)║ 德國在地生根、製造生產超過125年的歷史悠久,植體表面特殊的TiPure技術,能夠幫助植體與齒槽骨結合,達到最大的整合功能,同時,也能幫助植體壽命的延長。 →https://reurl.cc/oD81ov” - 植牙後的保養 2026.01.19
植體術後保健 植牙完成24-48小時,建議要反覆冰敷,冰敷的要領為:在臉頰外側冰敷15-20分鐘,休息10分鐘。 不要泡溫泉、熱水澡,以及從事游泳與劇烈的運動。 盡量以軟度高、好咀嚼的食物為主,應該避免食用過燙、辛辣、含有酒精成分刺激性的食物,減少傷口的刺激。 三餐飯後與睡前一定要清潔牙齒,降低植體周圍炎的發生。 如果是在傷口癒合期間的病患,應該要降低菸癮,以降低感染機率、有助於傷口的恢復。 過年期間,醣類攝取也很容易超標,病患也必須做好血糖控制,以免造成傷口併發症。 植體保養X飲食篇 大魚大肉、美食當前,沒人能夠抵擋誘惑,如果是剛完成植牙手術的病患,建議在放入口中前,請花10秒「停、看、想」確認不會傷害到贋復物與傷口在放入。 今天我要來提醒大家「有哪些食物不能碰」。 大菜類:沾醬、辛辣的食物、雞軟骨、排骨、魚骨頭等偏硬與辛辣的食物,少吃微妙。 硬殼類、過硬的食物:瓜子、花生、杏仁果、核桃、杏仁果、春棗、牛札糖等堅果類、硬殼食物,如果是剛完成植牙手術的病患,這些食物全部都是大忌,不碰為主。 黏牙的食物:年糕、口香糖、湯圓等容易沾附在假牙上的食物,盡可能少碰。 另外,過燙、刺激性飲品,都必須懂得適量飲用。 潔牙提醒 三餐飯後+睡前,一定要做好口腔清潔,而且是採用輕刷的方式進行。 如果是在72小時內的患者,建議暫時停止使用牙膏,多使用牙線、清水漱口的方式進行清潔。 植體保養的刷牙方式如下: 首先:使用牙刷在假牙與牙肉的交界,採用刷牙法,來回輕刷至少10次。 接著:使用牙間刷,輕貼牙齒的表面,進行前後清洗,按照同一個方式,從舌側進入,輕貼牙齒表面,再做一次清潔,每次動作至少5次。 最後:使用大約45CM的牙線,可以使用穿引器的輔助,深入牙橋底下做清潔,每次動作至少5次。 植體斷了怎麼辦? 植牙周圍輕微腫脹、敏感性酸痛→加強清潔、減少刺激性食物對口腔的刺激,立即前往就醫必要性不高。年假後必須立刻回診檢查。 植牙假牙輕微搖晃、輕微腫脹與敏感→加強清潔、盡量換邊咀嚼,少吃硬的、辛辣的食物,立即前往就醫必要性不高。年假後必須立刻回診檢查。 劇烈假牙搖晃、腫脹擴大、發燒→為了防止感染擴大變成蜂窩性組織炎,建議前往大醫院急診檢查。 植體掉落→代表骨頭嚴重感染,為了防止感染擴大變成蜂窩性組織炎,建議前往大醫院急診檢查。 出現發燒、口腔顏面腫脹、持續性流血→大醫院急診尋求協助。 - 4. 美白篇 2026.01.19
為什麼牙齒會變黃X內因性 內因性的原因如下: 遺傳:天生的體質問題。 服用藥物所致:除了之前介紹過的四環黴素的副作用之外,Ciprofloxacin廣效性抗生素也有醫學報導指出,它也很有可能是造成牙齒變黃的原因之一。 - 5. 數位全口重建 2025.09.16
數位化牙科:透過科技+牙科技術的結合,運用口掃機、電腦2D或者3D的數位軟體影像製作,搭配電腦斷層影像,將病患的資料上傳至雲端。讓醫師、牙技師、患者能夠同步溝通,降低治療期待值的誤差,同時,減少不必要的失誤與縮短治療時間。 - 6. 牙冠增長術 2025.09.02
什麼是「牙冠增長術」,簡單說,即是修整牙齦和牙冠的比例,藉此來解決口腔內,每顆牙齒牙齦高低、位置落差所導致美觀上不協調的問題。
常見問題
植牙手術的過程是怎樣的?
口腔健康狀況評估:
醫師會檢查患者的牙周、牙齦、骨質狀況,判斷是否適合植牙。
全身健康狀況評估:
醫師會了解患者是否有其他疾病,例如心臟病、糖尿病等,以及是否正在服用藥物,這些都可能影響植牙的成功率。
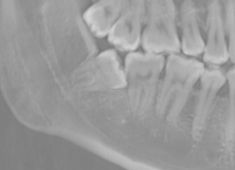
X光檢查和電腦斷層掃描:
這些檢查可以幫助醫師更精確地了解患者的骨質密度和位置,以便進行更精確的手術規劃。
患者意願和期望:
醫師會與患者溝通,了解患者對植牙的期望和對手術的理解。
植牙前需要做哪些評估?
- 口腔健康狀況評估:
醫師會檢查患者的牙周、牙齦、骨質狀況,判斷是否適合植牙。 全身健康狀況評估:
醫師會了解患者是否有其他疾病,例如心臟病、糖尿病等,以及是否正在服用藥物,這些都可能影響植牙的成功率。
X光檢查和電腦斷層掃描:
這些檢查可以幫助醫師更精確地了解患者的骨質密度和位置,以便進行更精確的手術規劃。
患者意願和期望:
醫師會與患者溝通,了解患者對植牙的期望和對手術的理解。
植牙後的護理有哪些需要注意的?
口腔健康狀況評估:
醫師會檢查患者的牙周、牙齦、骨質狀況,判斷是否適合植牙。
全身健康狀況評估:
醫師會了解患者是否有其他疾病,例如心臟病、糖尿病等,以及是否正在服用藥物,這些都可能影響植牙的成功率。
X光檢查和電腦斷層掃描:
這些檢查可以幫助醫師更精確地了解患者的骨質密度和位置,以便進行更精確的手術規劃。
患者意願和期望:
醫師會與患者溝通,了解患者對植牙的期望和對手術的理解。




















