牙周水雷射
精準微創‧無痛新植感
專科醫師主刀,快速安心
療程/服務介紹
檢查評估
資料蒐集。全面檢查牙齦與骨頭狀況。
術前講解
詳細解釋治療流程,簽屬治療同意書。
水雷射
專業醫師親自操作,傷口小、微創安全。
術後回診
回診追蹤拆線,確保傷口穩定癒合。
定期追蹤
定期檢查,維護牙齒與牙周健康。
精於贗復補綴專科,4D數位重建、植牙美學、全瓷美齒,重視醫病關係享譽醫學界精於贗復補綴專科,4D數位重建、植牙美學、全瓷美齒,重視醫病關係享譽醫學界,精於贗復補綴專科,4D數位重建、植牙美學、全瓷美齒,重視醫病關係享譽醫學界。
專科醫師主刀,快速安心

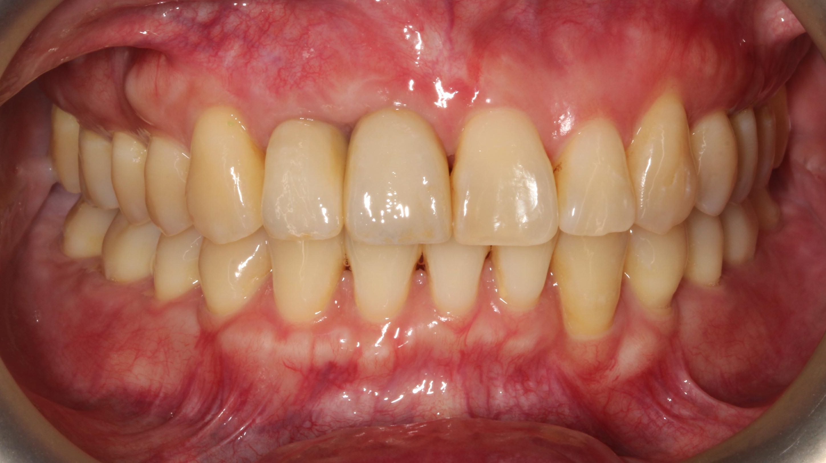
檢查評估
資料蒐集。全面檢查牙齦與骨頭狀況,為您規劃最適合的治療方案。

手術過程
由專業醫師進行牙周水雷射治療,相較於傳統器械刮除牙結石,水雷射強調低疼痛、高效、微創。在清除發炎組織的同時可有效滅菌,出血少、傷口小。牙周水雷射治療的術後不適感低、癒合速度快,且微創安全,因此適合有糖尿病、心血管疾病等系統性疾病患者,能降低治療的風險與身體負擔。

完成治療
定期回診追蹤,維護牙周的穩定與健康。

術前評估
精於贗復補綴專科,4D數位重建、植牙美學、全瓷美齒,重視醫病關係享譽醫學界精於贗復補綴專科,4D數位重建、植牙美學、全瓷美齒,重視醫病關係享譽醫學界,精於贗復補綴專科,4D數位重建、植牙美學、全瓷美齒,重視醫病關係享譽醫學界。
