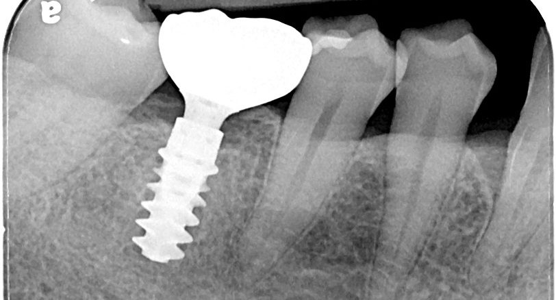
單顆植牙
精準微創‧無痛新植感
專科醫師主刀,快速安心
療程/服務介紹
檢查評估
資料蒐集,規劃最合適的治療方案。
術前模擬
電腦模擬植牙位置,精準安全。
植牙手術
專科醫師親自操刀,當天裝上臨時假牙。
正式假牙
量身打造自然、美觀的正式假牙。
術後追蹤
定期回診追蹤,讓新牙長久陪伴您。
精於贗復補綴專科,4D數位重建、植牙美學、全瓷美齒,重視醫病關係享譽醫學界精於贗復補綴專科,4D數位重建、植牙美學、全瓷美齒,重視醫病關係享譽醫學界,精於贗復補綴專科,4D數位重建、植牙美學、全瓷美齒,重視醫病關係享譽醫學界。
專科醫師主刀,快速安心

檢查評估
透過3D電腦斷層與口腔掃描,全面檢查牙齒與骨頭狀況,為您量身打造植牙計畫。

手術準備
利用電腦模擬植牙位置,精準預測手術效果,降低風險,提升成功率。由專科醫師親自操刀,過程舒適、安全,為未來假牙打下穩固基礎。

完成治療
待牙齦與骨頭癒合後,透過數位印模製作自然、美觀的正式假牙,恢復良好咀嚼與美麗笑容。

術前評估
精於贗復補綴專科,4D數位重建、植牙美學、全瓷美齒,重視醫病關係享譽醫學界精於贗復補綴專科,4D數位重建、植牙美學、全瓷美齒,重視醫病關係享譽醫學界,精於贗復補綴專科,4D數位重建、植牙美學、全瓷美齒,重視醫病關係享譽醫學界。
